Afyon Kocatepe Üniversitesi (AKÜ) Veteriner Fakültesinde, kedilerde nadir görülen bir kalp tümörü vakası tespit edildi.
MEHMET BAYER – 21.06.2022 – HİBYA – Afyon Kocatepe Üniversitesi (AKÜ) Veteriner Fakültesinde, kedilerde nadir görülen bir kalp tümörü vakası tespit edildi.
AKÜ Veteriner Fakültesi İç Hastalıkları Anabilim Dalı Öğretim Üyesi Prof. Dr. Turan Civelek, HİBYA’ya yaptığı açıklamada, modern cihazların veteriner hekimlik alanında rutin kullanıma girmesi ve bu ekipmanları kullanacak uzman veteriner hekimlerin yetişmesinin Türkiye’deki veteriner klinik, poliklinik ve hastanelerde tanıya yaklaşımda adeta çığır açtığını söyledi.
Eskiden teşhis edilemeyen bazı hastalıkların, modern tanı ekipmanlarının kullanımıyla artık kolaylıkla tespit edilebildiğini aktaran Civelek, ”Veteriner hekimlik için kan analizleri, röntgen, endoskopi, ultrasonografi günümüzde rutin uygulamalardır, hemen her klinikte yapılabilmektedir. Hatta ülkemizde birçok merkezde artık tanıda bilgisayarlı tomografiden ve hatta MRI’dan yararlanılıyor. Daha önce nadir gözlendiği düşünülen bazı hastalıklar ise günümüzde bu tip ileri ekipmanlarının kullanımıyla artık büyük doğrulukla tanı alıyor.” dedi.
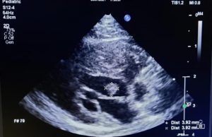
Civelek, bu vakaya, kendisinin lisansüstü danışmanlığını yürüttüğü veteriner hekimler Ender Erkoç ve Cankan Alpay’ın kliniklerinde, tekir ırkı erkek bir kedide rutin kalp ultrasonografisi (ekokardiyografi) sırasında rastlandığını ifade ederek, şu bilgileri verdi:

”Kesin tanı için bizden destek istediler. Görüntüleri incelediğimizde bunun nadir gözlenen bir tümör olabileceğini gördük. Olayı tanımladık ve bilim dünyasına kazandırdık. Kalp hastalıklarına her yaştaki kedi ve köpeklerde sıklıkla rastlanmaktadır. Kardiyak tümörlere ise kedilerde nadir rastlanır. Bu tümörlerin teşhisi genellikle ekokardiyografik muayene yani kalbin ultrasonografisiyle yapılır. Sunulan vakadaki ‘papillar fibroelastoma’ primer bir kalp tümörüdür ve iyi huylu olarak bilinir. Bununla birlikte, bu tip tümörler tromboemboli (pıhtı atma) riski taşır, felç ya da enfarktüs gibi komplikasyonlara sebebiyet verebilir. Bu tip olgulardaki belirtiler net değildir ve kitlenin boyutu veya yapısıyla bağlantılı olarak değişkenlik gösterebilir.”

Vakanın, bilimsel bir makaleye dönüştürüldüğünü dile getiren Prof. Dr. Civelek, ”Bu yayını hazırlamamızdaki amaç ise veteriner hekimliğin geldiği noktayı gözler önüne sermek ve bunun ötesinde konuyla ilgili meslektaşlarımıza referans teşkil edecek bir eser ortaya koymaktı. Yaptığımız araştırmalar sonucu bilim dünyasında kedilerde daha önce bildirilmiş bu tip bir fibroelastom vakasına rastlanmadığını gördük. Bu vakanın bir ilk olması da bizim için ayrıca sevindiricidir.” diye konuştu.

Prof. Dr. Civelek, ”patili dostlarla” yaşayan hayvan severlerin olası kalp hastalıkları açısından her zaman dikkatli olması gerektiğini, özellikle ilk bir yaş içerisinde ve yine orta yaş sonrası rutin olarak gerçekleştirilecek kalp muayenesinin kedi ve köpeklerde yaşam kalitesinin korunması ve erken tanı açısından önem taşıdığını, erken tanının ise hayat kurtaracağının unutulmaması gerektiğini sözlerine ekledi.

























